脳神経内科
脳神経内科は脳や脊髄、神経、筋肉の病気を診る診療科です。しびれやめまい、頭痛、物忘れ、うまく力が入らない、歩きにくい、ふらつく、突っ張る、けいれん、むせる、しゃべりにくい、ものが二重に見える、などの症状をお持ちの方に受診していただいています。診察、各種検査、必要に応じて他診療科と協力のうえ診断を行い、主に内服薬や注射薬、リハビリなど内科的に治療を進めます。
具体的には、脳梗塞、てんかんなどの救急疾患から、パーキンソン病、多発性硬化症、重症筋無力症、脊髄小脳変性症などの神経難病まで幅広く診療を行っています。また頭痛診療については、令和6年4月には頭痛外来を開設して積極的な取り組みを進めています。
スタッフ紹介
-
原 靖幸
内科部長
脳神経内科部長
栄養管理部部長- 資格・認定
- 日本脳卒中学会 脳卒中専門医・評議員、日本頭痛学会 頭痛専門医・指導医、日本内科学会 認定内科医、難病指定医、緩和ケア研修会修了、臨床研修指導医講習会修了、日本神経学会 神経内科専門医
-
寺﨑 晃平
脳神経内科医師
診療実績(令和6年度)
| 入院患者数 | 新患者数 | 294人 |
|---|---|---|
| 延患者数 | 6,269人(17.2人/日) | |
| 外来患者数 | 新患者数 | 834人 |
| 延患者数 | 4,432人(18.2人/日) |
施設認定
- 日本神経学会教育関連施設
- 日本脳卒中学会認定一次脳卒中センター
- 日本脳卒中学会認定研修教育施設
治療の一例
| IV t-PA実施数 | 12例 |
|---|---|
| 血栓回収療法での転送数 | 7例 |
(令和4年度)
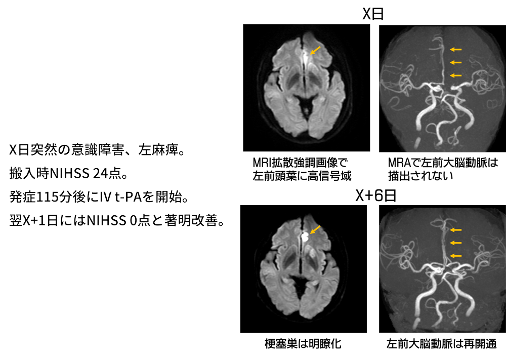
IV t-PAが著効した脳塞栓症の1例

抗LGI1抗体陽性辺縁系脳炎の1例

CGRP関連抗体薬が奏功し復職しえた慢性片頭痛の1例
